皇冠信用网在线注册_河南一老人做冠脉造影手术时一截导丝断在血管中!院方回应
世界杯皇冠信用网平台(www.hg0088.us)为您提供最新登1登2登3代理网址,包括新2登1登2登3代理手机网址,新2登1登2登3代理备用网址,皇冠登1登2登3代理最新网址,近日,来自河南汝州的高女士反映称,她的父亲在河南省胸科医院做冠脉造影手术时,手术所用导丝末端断裂,一截导丝被遗留在血管中皇冠信用网在线注册。“父亲原本就有血栓,担心随着父亲年龄增长,病情会加剧。”
9月30日,涉事医院医患办公室工作人员告诉南都N视频记者,术后院方组织了相关科室会诊,判断回旋支指引导丝远段断裂,与患者回旋支弥漫性动脉硬化重度狭窄病变及钙化有关皇冠信用网在线注册。如果患者需要做医疗事故鉴定,院方将全力配合。目前仍在与该病人家属进行协商。

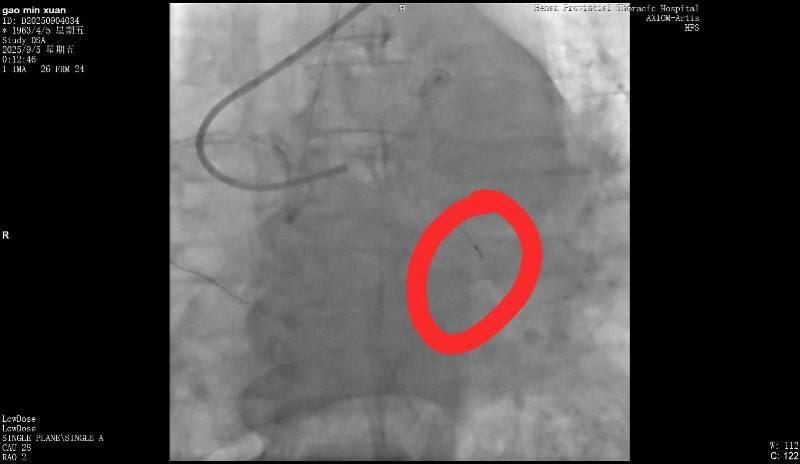
断裂的导丝皇冠信用网在线注册。受访者供图
病人家属:担心遗留导丝会加剧病情
高女士向南都记者介绍,其父亲今年62岁,去年因冠心病在河南省胸科医院做过支架植入手术皇冠信用网在线注册。今年9月2日,因感到胸闷,其父亲再次到该医院复查。
9月5日,高女士父亲在该医院做冠脉造影,手术进行了近3个小时皇冠信用网在线注册。高女士回忆说,手术结束后,负责手术的医生告诉她,“在微创探查体内的时候,一截导丝断裂。”当高女士询问能否再次实施手术取出时,医生表示因病患年纪较大,开胸手术存在危险,并没有取出的必要。但对于遗留导丝会否在后续造成长期影响,该医生则称“无法确定”。
高女士提供的病程记录显示,“手术操作过程中出现回撤导丝困难,送入微导管尝试至坎顿处未成功,退出微导管时远段导丝断裂,多途径尝试取出断裂导丝均未能成功皇冠信用网在线注册。”资料还指出,“通过复查造影,回旋支近段残余狭窄小于30%,未见明显夹层、无复流。”
南都记者留意到,该病程记录给出了心血管外科一病区会诊意见,称“回旋支内见离断的介入导丝,外科取出导丝意义不大,建议内科治疗”皇冠信用网在线注册。
高女士认为,父亲原本就有血栓,按照医院的说法,他的血管狭窄、钙化严重,其担心随着父亲年龄增长,情况会加剧皇冠信用网在线注册。她表示,目前有两个诉求,一是希望医院能给予一定金额的赔偿;二是由医院对接能做开胸手术的医院,必要情况下协助垫付一定费用。
涉事院方:可配合做相关医疗鉴定
9月30日,南都记者联系涉事医院医患办咨询,接线人员表示,目前已了解高女士的诉求,正积极与高女士进行协商皇冠信用网在线注册。
该名接线人员表示,该患者入院后,诊断冠心病、急性冠脉综合征,手术指征明确皇冠信用网在线注册。“术前已与患者及家属沟通病情,告知其冠脉造影及冠脉支架植入术的必要性及相关风险。”
这一说法可以在高女士提供的病程记录中得到印证皇冠信用网在线注册。相关记录显示,9月4日,手术医师进行查房,随后与患者及家属沟通病情,告知其冠脉造影及冠脉支架植入术的必要性及相关风险,其中提及,术后可能出现支架再狭窄或支架内血栓形成,可造成相关脏器急性缺血坏死或功能障碍,危及生命,以及导丝、导管、鞘管等术中所用材料断裂、打折等,必要时需要外科手术治疗。
该医患办工作人员向南都记者解释称,术后院方组织了相关科室会诊,判断回旋支指引导丝远段断裂,与患者回旋支弥漫性动脉硬化重度狭窄病变及钙化有关皇冠信用网在线注册。“如果患者需要做医疗事故鉴定,院方将全力配合。如果对方经济困难,医院愿意垫付费用做鉴定。”其还表示,医院将根据第三方相关鉴定,承担院方该承担的责任。
南都记者了解到,当前高女士向医院提出30万的索赔,院方认为索赔数目太高,建议走司法程序进行司法鉴定,以此明确医院的过错及比例,如果家属对血管里的导丝感到担心,医院可先补偿8000元皇冠信用网在线注册。
高女士表示,当前她已将诉求反映至省卫健委有关部门,正在进一步等候处理中皇冠信用网在线注册。
采写:南都N视频记者 林诗妍
猜你喜欢
- 2小时前皇冠信用網在线开户 _关注无人机乱象|偷猎的“空中刺客”,该管管了
- 6小时前皇冠皇冠代理平台 _将中俄拒之门外,欧洲惨遭反杀,特朗普另起炉灶,替中俄出口恶气
- 16小时前皇冠信用盘代理 _被外交部反制的岩崎茂,何许人也?
- 18小时前皇冠信用开号 _澳枪击案空手夺枪男子系水果店老板,美亿万富翁捐近10万美元
- 18小时前皇冠信用开号 _主动投案,国家税务总局浙江省税务局原党委书记、副局长龙岳辉接受审查调查
- 22小时前皇冠信用网登3代理申请 _重大突破!彩虹-7高空高速隐身无人机成功首飞
- 23小时前皇冠信用代理出租 _澳大利亚海滩枪击事件两名枪手身份确定
- 24小时前皇冠信用網登3代理 _前裁判揭露:普利西奇进球为何被吹?奇克与萨索洛球员的接触真相大揭秘!
- 24小时前皇冠信用網登3代理 _皇马险胜阿拉维斯,贝林厄姆进球被判无效
- 1天前皇冠信用網 _水晶宫主帅格拉斯纳:0比3失利不公平,镰田大地的伤势令人担忧!
- 1天前皇冠信用網需要押金吗 _WTT香港总决赛:王曼昱夺得女单冠军
- 1天前怎么申请皇冠信用网 _外媒:澳大利亚邦迪滩发生枪击事件造成12人死亡,多国领导人相继发声
- 1天前皇冠信用網登1 _240万转错账户,女子:对方欠银行700万,还是被执行人,钱一直拿不回来
- 1天前皇冠信用账号申请 _江苏省省长刘小涛、南京市代市长李忠军两个月内先后调研,南京栖霞这家企业什么来头?
- 2天前皇冠登3代理申请 _广西柳城县发生一起命案,警方悬赏10万捉拿!多方回应
- 2天前皇冠信用網代理平台 _“冤枉我,气得要死!”长沙盲人老太巷子里专挑女性带路?当事人发声,社区登门安抚
- 2天前皇冠信用网平台 _英超-刺激!狼队90分扳平94分再送乌龙 阿森纳2-1继续领跑
- 2天前皇冠信用盘代理 _短短半年翻十倍,美方发现中国秘密,特朗普突松口,背后另有企图
- 2天前皇冠信用网代理 _广州男子收养小野猪一年多从30斤长到150斤,曾有人开价5万购买遭拒
- 3天前香港皇冠体育 _东部战区发布重磅主题海报《大刀·祭》
- 3天前香港足球联赛 _18岁女生全素颜相亲,两男子一眼沦陷,选踏实男子,网友赞:内在才长久
- 3天前香港足球联赛 _北京初雪后多位路人在故宫偶遇李现,他手里拿着相机,网友:期待他更新故宫雪景照片
- 3天前皇冠信用网开户 _打破沉默!高市早苗一锤定音,500枚导弹将部署, 美国是“幕后黑手”?中俄早有准备,解放军严阵以待
- 3天前皇冠信用網代理 _淮南一名小学生因病去世,班上同学以为是转学纷纷给他写信:“xi望你还记得我们”


网友评论